Menu Left
-
NOTICIAS
Tipo de noticia
Noticias Destacadas
-
La Asociación
Noticias destacadas de La Asociación
- Información para pacientes
-
Campañas educativas
-
Comunicados de prensa
Comunicados de la asociación
COVID-19
Sobrescribir enlaces de ayuda a la navegación
- Inicio
- COVID-19
Publicidad
Publicidad
Queremos saludarlos y desearles que la salud de sus familias los acompañen en esta época.
Teniendo en cuenta el ascenso de casos de Covid-19 creemos, más que nunca, de vital importancia que considere participar en el Registro Latinoamericano de pacientes con Psoriasis e infección por (...
DERMATOSIS OCUPACIONALES EN TRABAJADORES DE SALUD DURANTE ESTA PANDEMIA
Los trabajadores de la salud podemos sufrir de varias lesiones en la piel debido a nuestro trabajo. Dentro de ellas, la...
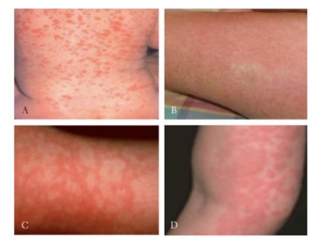
Siguen apareciendo reportes de lesiones en piel en pacientes con coronavirus. En este diagrama resumimos los hallazgos publicados por el Dr. Recalti de una serie de 80 pacientes afectados con COVID-19 en el Hospital Lecco de Lombardía, Italia. En esta carta al editor...
Buenos días Dr. Burgos:
Por medio del presente enviamos documento de creación y roles de la Red AMCI de Soporte Critico Covid 19.
Amablemente solicitamos su colaboración compartiendo este documento con las sociedades y asociaciones adscritas.
Agradecemos de antemano...